O様のケースです。下の入れ歯がなじまなかったので、右側だけインプラントを入れてジルコニアの被せ物を入れました。咬む力が思いのほかアップしたのに驚いておられました。
【術前】

【術後】

当院の最新情報ならびにお勧めしているメタルフリーの最新症例をご紹介しています。
13.06.04
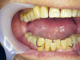
O様のケースです。下の入れ歯がなじまなかったので、右側だけインプラントを入れてジルコニアの被せ物を入れました。咬む力が思いのほかアップしたのに驚いておられました。
【術前】

【術後】
