当院の最新情報ならびにお勧めしているメタルフリーの最新症例をご紹介しています。
13.06.11
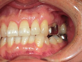
F様のケースです。笑うと光る左上の銀歯が気になるとのことでしたので、ジルコニアの被せ物に取り替える治療を行いました。
【術前】
【術後】
一覧に戻る