O様のケースです。以前、奥歯に入れた樹脂の歯が割れたため来院されました。今回はセラミックの歯をご希望ということでしたので、ジルコニアクラウンを入れさせていただきました。
【術前】

【術後】

当院の最新情報ならびにお勧めしているメタルフリーの最新症例をご紹介しています。
13.12.10
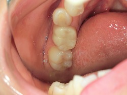
O様のケースです。以前、奥歯に入れた樹脂の歯が割れたため来院されました。今回はセラミックの歯をご希望ということでしたので、ジルコニアクラウンを入れさせていただきました。
【術前】

【術後】
