T様のケースです。以前に入れた健康保険が適用される銀歯が外れて無くなってしまったとのことでした。今回は「自分の歯みたいに!」とのことでした。前の歯に合わせて、ジルコニアモノコッククラウンで被せました。
【術前】

【術後】

当院の最新情報ならびにお勧めしているメタルフリーの最新症例をご紹介しています。
13.12.17
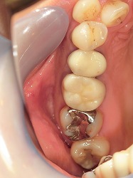
T様のケースです。以前に入れた健康保険が適用される銀歯が外れて無くなってしまったとのことでした。今回は「自分の歯みたいに!」とのことでした。前の歯に合わせて、ジルコニアモノコッククラウンで被せました。
【術前】

【術後】
