T様のケース。
右上の犬歯が虫歯になったとの事で来院されました。
神経を取らないといけない程大きな虫歯になっていたので、無痛にて神経の処置をした後
ジルコニアクラウンレアリンングタイプで被せました。
【術前】
【術後】
当院の最新情報ならびにお勧めしているメタルフリーの最新症例をご紹介しています。
14.09.09
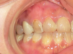
T様のケース。
右上の犬歯が虫歯になったとの事で来院されました。
神経を取らないといけない程大きな虫歯になっていたので、無痛にて神経の処置をした後
ジルコニアクラウンレアリンングタイプで被せました。
【術前】
【術後】