60歳代 女性 右上
定期的に検診でお越しいただいていましたが
おそうじもされにくく中の骨がやせて腫れを繰り返していた為
今後の事も考えた結果その歯を抜いて
新しくジルコニアクラウンで被せ物を作りました。
骨がすごく痩せていたので歯が長く見え過ぎないように
ジルコニアクラウンに歯茎に似た色を焼き付け
見た目も綺麗に仕上げました![]()
歯肉の回復をまったり広範囲の治療となりましたので
回数は少しかかりましたが
その後は口腔内も落ち着き磨きやすくなったと喜んで頂けました![]()

当院の最新情報ならびにお勧めしているメタルフリーの最新症例をご紹介しています。
18.10.23
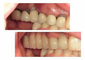
60歳代 女性 右上
定期的に検診でお越しいただいていましたが
おそうじもされにくく中の骨がやせて腫れを繰り返していた為
今後の事も考えた結果その歯を抜いて
新しくジルコニアクラウンで被せ物を作りました。
骨がすごく痩せていたので歯が長く見え過ぎないように
ジルコニアクラウンに歯茎に似た色を焼き付け
見た目も綺麗に仕上げました![]()
歯肉の回復をまったり広範囲の治療となりましたので
回数は少しかかりましたが
その後は口腔内も落ち着き磨きやすくなったと喜んで頂けました![]()
