自宅でも出来る歯周病予防! 3DS法
3DS治療は、「Dental Drug Delivery System」の略称で薬剤の効果を最大限に高めるためにマウスピースの内面に薬剤を入れて、虫歯菌や歯周病菌を殺菌、減菌することにより、治療効果を上げる方法です。
そのため、事前に虫歯治療や初期歯周治療をすませておくことが重要になります。
特に汚れは少ないのに歯肉の炎症が治らない方におすすめです。
・3DS治療の流れ
- 【STEP1】初期検査-虫歯、歯周病の有無のチェックおよびその治療
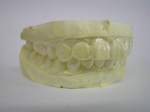
- 【STEP2】トレー(マウスピース)の作成
- 【STEP3】トレーのフィット感などの確認およびPMTCなどの最終汚れ落としとチェック
- 【STEP4】マウスピースに薬剤を入れ、自宅で治療開始
- 【STEP5】1ヶ月~2ヶ月後のチェックおよびSPT(再評価)
・歯周病のリスクを軽減
3DSは歯周病菌の殺菌、減菌の効果もあり、そのリスクの軽減にもつながります。
以下のような疾患は、歯周病に原因があると言われています。
・脳疾患
・心臓疾患
・糖尿病
・高血圧
・動脈硬化
・肺炎
・早産
歯肉の潰瘍部分から毒素が血管内に入り、上記のような色々な病の元になると近年の研究により明らかになっています。これらの可能性を3DS治療で減らすことができます。
・まずはお口の中に細菌を溜めないことが大切!
歯周病ケアの基本は原因となる歯周病菌を増やさないようにすることです。
毎日の食事の後にしっかりブラッシングを行い根元の汚れや
フロス、歯間ブラシで歯と歯の間までお掃除しましょう。
1番念入りにお掃除して頂きたい時間帯は夜寝る前です!
・どんな人が効果的?
綺麗に磨いてるつもりなのに凄く出血がある。
いつも歯茎がぶよぶよしている
口臭が気になる…などです
・どうやって作るの?使い方は?
①歯周検査・骨の状態を確認します
②お口の中の汚れをお掃除します
③お口の中の型を取り専用のマウスピースを作ります
④出来上がったマウスピースをお口と合わせます(取り外しの練習)
⑤就寝前など歯磨きをした後、マウスピースの中に薬剤を入れて装着します
マウスピースに薬液を入れて装着するだけでとても簡単です!
・どんな薬液がおすすめ?
歯周病の原因となるバイオフィルムに対して
浸透性・殺菌性の高い薬剤を選ぶことが大切です。
例えば、殺菌性の高いクロルヘキシジンやイソプロピルメチルフェノール(IPMP)
を含む薬剤は効果的とされています。
また、口腔内に長時間滞留できるジェルタイプがおすすめです。
・コンクール ジェルコート

・システマSP-Tジェルコート

また、どちらにも入っている成分フッ化ナトリウムは
歯の再石灰化を促進し歯面の強化にもつながることから
同時に虫歯予防にもなります。



