痛くない親知らずの抜歯ってあるの?
『親知らずのあたりが腫れぼったい』『親知らずが痛い』『親知らずに穴が空いてる気がする』『親知らずを抜きたいけど・・・すごく痛かったり腫れたりするんでしょ?』と、よく相談を受けます。
親知らずを抜いてしまいたいけど、実際に抜くとなると躊躇される方が多いのではないでしょうか。
親知らずは、もともと生えてない人もいれば、1本だけ生える人や4本とも生える人もいます。そして生え方が1番問題で、正常にまっすぐ生える人もいれば、顎の骨の中にあったり、歯茎の中から少しだけ頭を出していたり、斜めに生えたりします。
その親知らずの抜歯は必要?
親知らずがあるからといって、必ずしも抜歯しないといけないわけではありません。
抜歯した方がいいケース
- 親知らずが虫歯になっている場合
- 斜めに生えているため、汚れが溜まりやすく歯茎によく炎症を起こしている場合
- 頻繁に腫れたり、痛みがある場合
- まっすぐ生えているが歯磨きが困難な場合
- 親知らずの影響で、手前の健康な歯の治療が必要となる場合(これは早めの抜歯をおすすめします)
- 親知らずが生えていることで歯並びが悪くなる場合
- レントゲン写真上問題がある場合
逆に親知らずを抜歯する必要のない場合もあります。
- 歯並びに影響なく綺麗に生えており、歯磨きもしっかりでき、上手にコントロール出来ている場合
親知らずがもたらす影響
抜歯が必要な親知らずをそのまま放置しておくと、口腔内だけでなく他に様々な影響をもたらします。
親知らずは扁桃や咽頭などの組織と近いため、扁桃腺が腫れたような感じや、頭痛などをもたらす場合があります。
親知らずのほとんどは歯茎の中から少し頭を出している状態なので、歯茎の隙間に食べかすなどが溜まり、口臭や膿んで腫れる原因になります。
このような症状をもたらす場合は、早めに抜歯されることをおすすめします。
どうやって抜くの?
岡本歯科医院では、痛くないように麻酔をし、先に痛み止めを服用していただきます。なぜ、先に鎮痛剤を飲んでもらうのか?それは、麻酔が切れた後時間差で鎮痛剤が効くので、痛くない時間が比較的長く続くからです。
他にもたくさんの外科器具がありますが、だいたいこのような器具を使用して抜歯することが多いです。
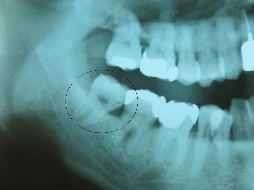
また、あらかじめレントゲンで根の位置や、歯の生えてる向きや長さなど、しっかり確認してから抜歯します。
CASE1
右上のケースは時間にして、1分くらいで抜歯します。
右下のケースは15分程度かかります。
CASE2
このケースは5分くらいで抜歯します。



