補綴矯正(クイック矯正)
歯並びが気になることありませんか。
見た目や噛みづらさ、お掃除の不便さなどいろんな
お悩みがあるかもしれません。
また矯正と聞くと時間も費用もかかるイメージかもしれません。
よく耳にするワイヤー矯正の場合、大人になり骨格がしっかりした状態だと
子どもの時に比べて綺麗に歯が並ぶまでに何年もの時間が必要となり
また歯を動かす時に骨吸収や根っこの吸収が起こりやすく
矯正後に歯が弱くなってしまうリスクもあります。
補綴矯正(クイック矯正)はかぶせ物で理想的な歯並びに
することができ短期間で治療を行う事が可能です。
ケースによってはワイヤー矯正よりも安価で
治療が行えることもあります。
どんなメリットがあるの?
ワイヤー矯正と違い短期間で治療することが出来ます。
後戻りする事もありません。
岡本歯科医院ではセラミックをかぶせるため
変色もせず汚れも付きにくく衛生的です。
透明感がありご自身の歯のように自然な仕上がりになります。
デメリットはあるの?
歯を削る必要があります。
また場合によっては神経を取らないといけないケースや
歯の大きさ・歯並びの状態で対応できないこともあります。
その為先にシュミレーション模型を作製し
クイック矯正、ワイヤー矯正どちらが患者さまの口腔内に適しているのか
判断させて頂いています。
まずはカウンセリングから
現在のお口の型を取り模型上でどのような歯並びになるのか
シュミレーションすることも可能です。
お気軽にご相談ください。
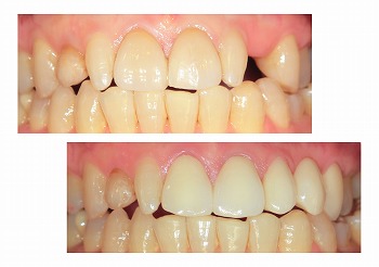
術前・術後 症例





