審美治療
審美治療とは、見た目の美しさの審美的な回復だけでなく、よく噛めることなどの機能性の回復により身体の健康にも配慮された歯科治療です。
審美治療で出来る事
- 詰め物や被せ物を用いて「歯並び」「歯の色」「歯の形」を美しくし、口元のコンプレックスをなくす
- アレルギーを除去することで、アレルギーに対する心配を減らす
- しっかり噛めるので楽しく食事ができる
- 口元が若々しくなるので会話することが楽しくなる
- 汚れが付きにくい素材のため、口腔内を清潔に保つことが出来る
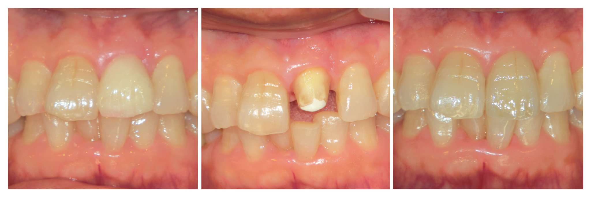
CASE1
主訴:左上の前歯が噛むと痛いとの事で来院
治療:レントゲン撮影の結果、根尖病巣が確認されました。根管治療(神経の処置)をした後、セラミッククラウンを被せました。
患者様より、前歯なので綺麗にしたい。なるべく自分の歯とわからないようにしてほしい。とのご要望があり
ジルコニアフレームのレアリングタイプの被せ物を提案させていただきました。
歯の色や形態は、ご自身の右側の前歯を参考にして作製しております。
被せ物の型取りをする際は、患者様のご要望に応えられるよう、技工士の先生に来てもらい色合わせや形態の打ち合わせをしました。
治療回数:5回

CASE2
主訴:左上の奥の方が痛い。しみるような感じもする。虫歯があるかもとの事で来院
治療:口腔内をチェックすると、歯と歯の間と咬合面(噛むところ)に虫歯ができていたので、虫歯の所を削って虫歯を取り除く処置をしました。ご自身の歯の部分がたくさん残っていたので、今回はセラミックの詰めるタイプを作製しました。患者様からも、自分の歯と同じような白い歯が良い、長持ちさせたいとの事でジルコニアの詰め物を提案させていただきました。
治療回数:2回

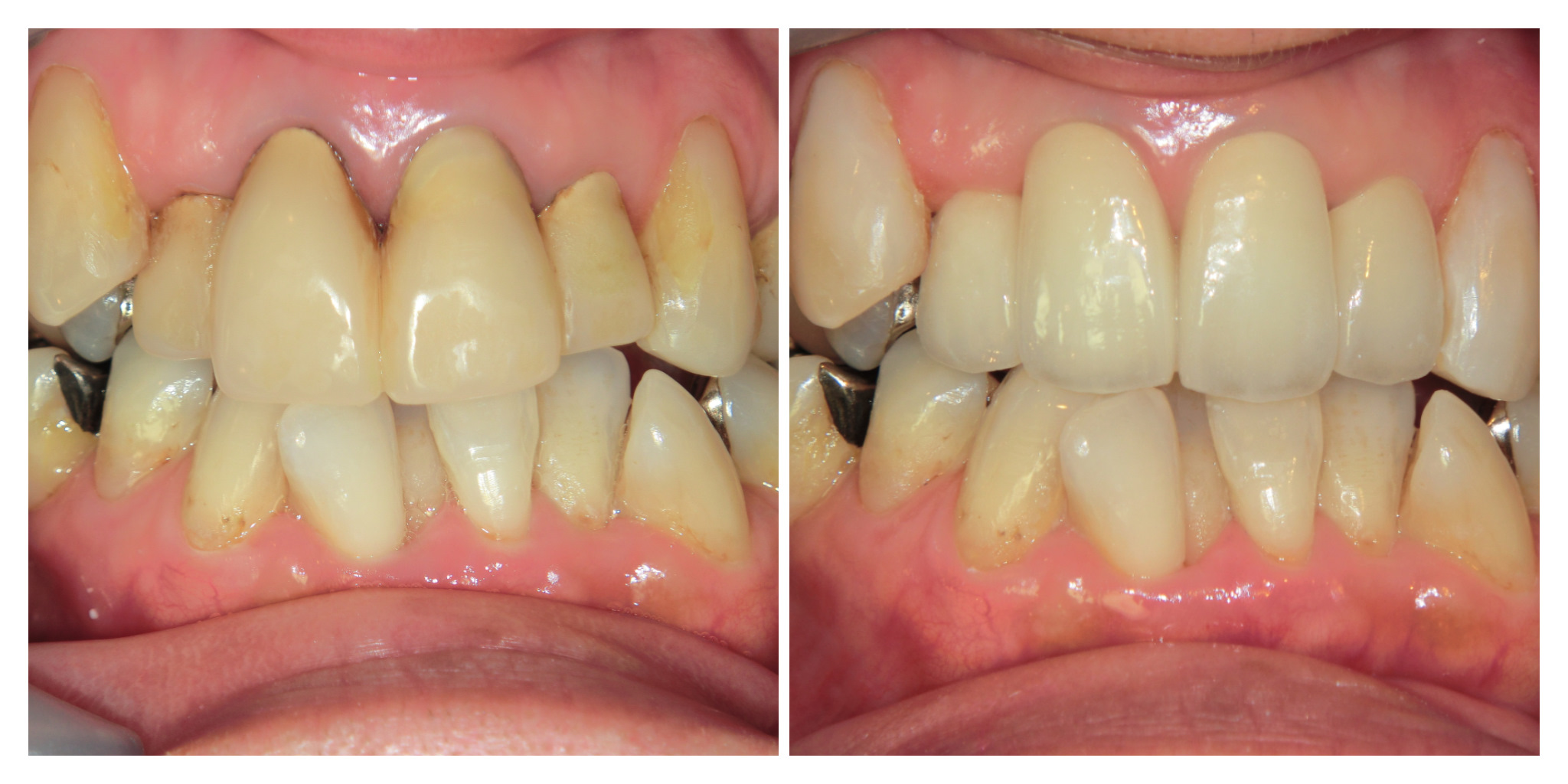
CASE3
主訴:昔に被せた前歯の根元が黒くなってきたのが気になるとの事で来院されました。
治療:まず初めにカウンセリングをしっかり行い、ジルコニアフレームを用いたレアリングタイプの被せ物をご提案させていただきました。メタルフリーなので、根元が黒くなることはありません。また審美的な事だけでなく、強度や汚れが付きにくいといった清掃性の良さも考慮しました。
治療が始まると、今まで入れていた被せ物を外しますが、仮歯を入れるので見た目も問題ありません。
型取りの時も技工士の先生が来ますので、歯の色や形など、細かいところまで相談していただけます。
治療回数:6回




