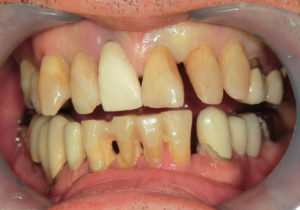
歯ぐきが腫れた!!原因は?
歯ぐきが腫れると、痛みを感じたり出血したりと様々な症状があります。
お子さんからご高齢の方まで特によくある症状の為、それだけで歯科を受診されることはないかもしれません。
しかし、歯ぐきの腫れには様々な原因やリスクが隠れています。
見た目の特徴や症状を照らし合わせ、受診する際の参考にして下さい。
歯周病
*原因
歯ぐきの腫れで最も多い原因として挙げられるのが歯周病です。
歯周病の初期症状は歯肉の腫れや出血です。
放置すると歯を支える歯槽骨が溶け、それに伴って歯周ポケットが深くなります。
歯周ポケットが深くなると歯の周りに細菌がたくさん溜まってしまうので、歯ぐきが化膿して腫れやすくなります。
*治療
歯肉炎の場合は適切なブラッシングなどで改善できますが、
歯周病まで進行してしまうと歯科医院での歯石除去や適切なクリーニングが必要になります。
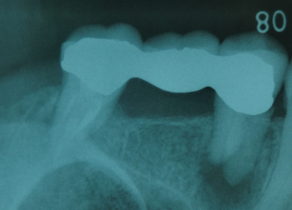
根尖性歯周炎
*原因
根尖性歯周炎とは、大きな虫歯により歯の中の神経 (歯髄) に感染が進み、
さらに奥の根っこの先 (根尖) に膿がたまって炎症が起こる感染症です。
急性の場合は、ズキズキして痛い・歯ぐきが腫れるなどの強い症状が出ますが、多くの場合は慢性症状となることが多いです。
慢性の場合は自覚症状がほとんどなくレントゲン撮影をした時に歯の根っこに黒い影が写ったり、
歯ぐきにニキビのような膿の袋 (フィステル or サイナストラクト) ができて気付くこともあります。
押すと膿が出たり少し痛みがありますが、強い痛みはほとんどありません。
*治療
歯の根の中を消毒する根管治療が必要になります。
当院では無痛麻酔をし、超音波洗浄や薬剤を用いて、根管内が無菌状態になるまでキレイに処置をします。
状態が良くなったら神経の代わりになる最終的なお薬を詰めていきます。
当院ではMTAセメントを使用しています。
(MTAセメントの詳しい内容はこちらのページをご参照ください。)
【根管治療は歯の寿命を左右する非常に大切な基礎治療です!!】
口内炎
*原因
口内炎は様々なことが原因でできます。
多くはビタミン不足や疲労・ストレスの蓄積による免疫力の低下・強いブラッシング・粘膜を噛んでしまったことによる傷などが原因です。
*治療
多くは栄養バランスの取れた食事・ステロイド剤を含む薬を塗布して改善をはかります。
当院ではその他にレーザー治療も実施しております。
口内炎の表面をレーザーで蒸散させ、粘膜の表面のたんぱく質を凝固させます。
そうすることでかさぶた状になり、接触痛を軽減させる効果があります。さらに口内炎への細菌感染も防ぐことができます。
まとめ
歯ぐきの腫れは発生頻度が高い症状です。
軽度で済む場合も多いですが、重大なトラブルや治療になる前に早めに歯科医院を受診しましょう!



