当院の最新情報ならびにお勧めしているメタルフリーの最新症例をご紹介しています。
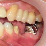
13.11.12
インプラントの被せ物
13.11.05
ジルコニアモノコッククラウンで白い歯に
13.10.29
ジルコニアフレームで審美的に矯正
13.10.22
ジルコニアモノコックのブリッジ
13.10.15
より割れにくくキレイな歯に
13.10.08
ジルコニアモノコックのクラウンで修復
13.10.01
インプラントによる欠損の治療
13.09.24
ジルコニアフレームで欠けやすい歯を治療
13.09.17
銀色のブリッジをジルコニアで自然に
13.09.10
鏡面加工されたセラミック
13.09.03
ジルコニアモノコックによる審美治療
13.08.27



