当院の最新情報ならびにお勧めしているメタルフリーの最新症例をご紹介しています。
14.02.04
根管治療後にジルコニアモノコッククラウンで修復
14.01.28
歯の色の悩みを改善
14.01.21
ジルコニアモノコックブリッジ
14.01.14
口腔内全体を治療
14.01.07
割れにくいセラミック
13.12.24
インプラント+ブリッジでの治療
13.12.24
前歯の歯ならびを整えた症例
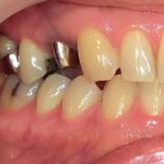
13.12.17
銀歯が外れた部分をジルコニアモノコッククラウンで2
13.12.10
ジルコニアクラウンによる奥歯の治療
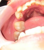
13.12.03
銀歯が外れた部分をジルコニアモノコッククラウンで。
13.11.26
白く割れにくいジルコニアモノコッククラウン
13.11.19



