Skip to content
大阪天満橋岡本歯科医院
Menu
  • トップ
  • 治療コンセプト
  • 院長紹介
  • 完全無痛治療
  • 診療メニュー
    • 無痛インプラント治療
    • メタルフリー・審美治療
    • 予防歯科
    • 入れ歯治療
    • ホワイトニング治療
  • 治療費
  • アクセス
  • News&Topics
  • ご予約
ニュース&トピックス

ニュース&トピックス

  1. 大阪天満橋岡本歯科医院 ホーム
  2. ニュース&トピックス一覧

当院からのお知らせとメタルフリー症例のご紹介 当院からのお知らせとメタルフリー症例のご紹介

当院の最新情報ならびにお勧めしているメタルフリーの最新症例をご紹介しています。

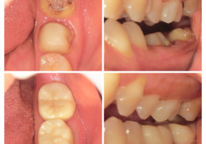
ジルコニアクラウンで連結

18.02.16

ジルコニアクラウンで連結

ジルコニアクラウンへ

18.02.15

ジルコニアクラウンへ

ジルコニアクラウンへ

18.02.14

ジルコニアクラウンへ

ジルコニアクラウンへ

18.02.13

ジルコニアクラウンへ

ジルコニアクラウンへ

18.02.07

ジルコニアクラウンへ

レアリングタイプ

18.01.30

レアリングタイプ

ジルコニアクラウン

18.01.29

ジルコニアクラウン

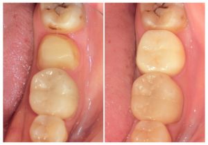
ジルコニアインレー

18.01.26

ジルコニアインレー

ジルコニアクラウンへ

18.01.24

ジルコニアクラウンへ

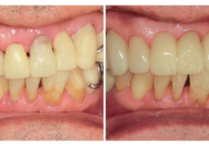
ジルコニアインレーとジルコニアクラウン

18.01.17

ジルコニアインレーとジルコニアクラウン

ジルコニアクラウンへ

18.01.17

ジルコニアクラウンへ

ジルコニアインレーへ

18.01.15

ジルコニアインレーへ

  • <
  • 6
  • 7
  • 8
  • 9
  • 10
  • 11
  • 12
  • 13
  • 14
  • >

自費治療の無料初診相談を行っております。お気軽にご相談ください。 自費治療の無料初診相談を行っております。お気軽にご相談ください。

PHONE&MAIL RESERVATION PHONE&MAIL RESERVATION 電話&メール 無料初診相談ご予約 電話&メール 無料初診相談ご予約

TEL.06-6945-1755

※ご予約いただきますと、待ち時間なく診療をお受けいただけます。

メールでのご予約

自費治療の無料初診相談を行っております。お気軽にご相談ください。

  • 電話でのご予約
  • メールでのご予約
↑
  • トップページ
  • ご予約
  • アクセス

大阪天満橋岡本歯科医院

Copyright(C)OKAMOTO DENTAL CLINIC All Rights Reserved.