Skip to content
大阪天満橋岡本歯科医院
Menu
  • トップ
  • 治療コンセプト
  • 院長紹介
  • 完全無痛治療
  • 診療メニュー
    • 無痛インプラント治療
    • メタルフリー・審美治療
    • 予防歯科
    • 入れ歯治療
    • ホワイトニング治療
  • 治療費
  • アクセス
  • News&Topics
  • ご予約
ニュース&トピックス

ニュース&トピックス

  1. 大阪天満橋岡本歯科医院 ホーム
  2. ニュース&トピックス一覧

当院からのお知らせとメタルフリー症例のご紹介 当院からのお知らせとメタルフリー症例のご紹介

当院の最新情報ならびにお勧めしているメタルフリーの最新症例をご紹介しています。

お知らせ

17.08.04

お盆休みのお知らせ

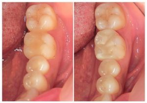
ジルコニアインレーとジルコニアクラウン

17.07.12

ジルコニアインレーとジルコニアクラウン

☆ホワイトニング☆

17.07.06

☆ホワイトニング☆

お知らせ

17.06.06

虫歯予防デー

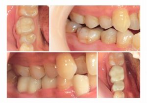
ジルコニアクラウン

17.05.22

ジルコニアクラウン

ジルコニアクラウン

17.04.25

ジルコニアクラウン

お知らせ

17.04.24

ゴールデンウィークのお休み

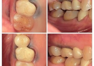
ジルコニアインレー

17.04.24

ジルコニアインレー

ジルコニアクラウン

17.04.06

ジルコニアクラウン

ジルコニアインレー

17.04.05

ジルコニアインレー

お知らせ

17.03.31

定期健診のお知らせ

レアリング

17.03.27

レアリング

  • <
  • 9
  • 10
  • 11
  • 12
  • 13
  • 14
  • 15
  • 16
  • 17
  • >

自費治療の無料初診相談を行っております。お気軽にご相談ください。 自費治療の無料初診相談を行っております。お気軽にご相談ください。

PHONE&MAIL RESERVATION PHONE&MAIL RESERVATION 電話&メール 無料初診相談ご予約 電話&メール 無料初診相談ご予約

TEL.06-6945-1755

※ご予約いただきますと、待ち時間なく診療をお受けいただけます。

メールでのご予約

自費治療の無料初診相談を行っております。お気軽にご相談ください。

  • 電話でのご予約
  • メールでのご予約
↑
  • トップページ
  • ご予約
  • アクセス

大阪天満橋岡本歯科医院

Copyright(C)OKAMOTO DENTAL CLINIC All Rights Reserved.