Skip to content
大阪天満橋岡本歯科医院
Menu
  • トップ
  • 治療コンセプト
  • 院長紹介
  • 完全無痛治療
  • 診療メニュー
    • 無痛インプラント治療
    • メタルフリー・審美治療
    • 予防歯科
    • 入れ歯治療
    • ホワイトニング治療
  • 治療費
  • アクセス
  • News&Topics
  • ご予約
ニュース&トピックス

ニュース&トピックス

  1. 大阪天満橋岡本歯科医院 ホーム
  2. ニュース&トピックス一覧

当院からのお知らせとメタルフリー症例のご紹介 当院からのお知らせとメタルフリー症例のご紹介

当院の最新情報ならびにお勧めしているメタルフリーの最新症例をご紹介しています。

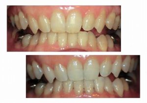
オールセラミック~レアリング~

17.11.08

オールセラミック~レアリング~

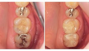
ジルコニアクラウン

17.11.07

ジルコニアクラウン

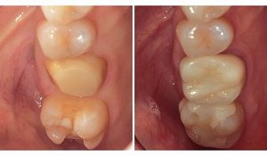
ジルコニアインレーへ

17.10.25

ジルコニアインレーへ

ジルコニアクラウンへ

17.10.19

ジルコニアクラウンへ

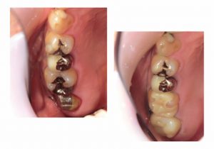
ジルコニアインレーとジルコニアクラウン

17.10.18

ジルコニアインレーとジルコニアクラウン

ホームホワイトニング

17.09.26

ホームホワイトニング

ジルコニアクラウン

17.09.21

ジルコニアクラウン

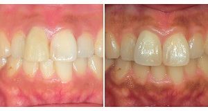
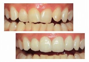
レアリング~綺麗な歯並びに~

17.09.13

レアリング~綺麗な歯並びに~

バネのない入れ歯~ノンクラスプデンチャー~

17.09.06

バネのない入れ歯~ノンクラスプデンチャー~

ジルコニアインレーとジルコニアクラウン

17.09.04

ジルコニアインレーとジルコニアクラウン

お知らせ

17.08.30

パンフレットが出来ました

お知らせ

17.08.29

リニューアル!!

  • <
  • 8
  • 9
  • 10
  • 11
  • 12
  • 13
  • 14
  • 15
  • 16
  • >

自費治療の無料初診相談を行っております。お気軽にご相談ください。 自費治療の無料初診相談を行っております。お気軽にご相談ください。

PHONE&MAIL RESERVATION PHONE&MAIL RESERVATION 電話&メール 無料初診相談ご予約 電話&メール 無料初診相談ご予約

TEL.06-6945-1755

※ご予約いただきますと、待ち時間なく診療をお受けいただけます。

メールでのご予約

自費治療の無料初診相談を行っております。お気軽にご相談ください。

  • 電話でのご予約
  • メールでのご予約
↑
  • トップページ
  • ご予約
  • アクセス

大阪天満橋岡本歯科医院

Copyright(C)OKAMOTO DENTAL CLINIC All Rights Reserved.